甲状腺结节超声图像解读?对于已发现或怀疑结节的患者,超声检查是首选的方法
- 郑州甲乳专科医院提供免费咨询、挂号服务
随着人们对健康的日益重视和检查技术的不断进步,甲状腺结节经常出现在体检报告中。许多人一看到自己的甲状腺超声检查报告单中有结节的提示,就如临大敌一般。
今天,我们一起来了解一下甲状腺结节检查那些事。
甲状腺位于喉结下方,外形似蝴蝶,分左右两个侧叶,中间以峡部相连,是人体最大的内分泌腺体,它所分泌的甲状腺激素,对调节身体生长发育、促进机体新陈代谢、维持全身各个脏器的功能具有重要作用。
甲状腺结节到底是个啥东西?
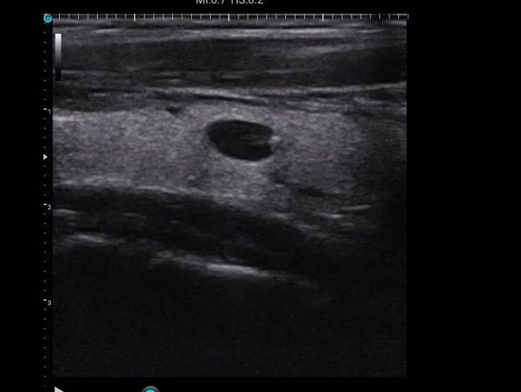
甲状腺结节是甲状腺组织内的一小块异常增生的区域,通常是良性的,但也有可能是恶性的。它可以是实质性结节的或者包含液体的囊肿,通过超声检查可以更清晰地观察其形态和性质。

甲状腺结节图像
为什么会出现甲状腺结节?
甲状腺结节的形成原因多种多样,可能与精神因素、激素水平变化以及放射等有关。长期的情绪压力、激素水平波动,特别是女性在孕期、生理周期内的变化,以及接触放射性物质都可能导致甲状腺结节的产生。
甲状腺结节超声图像解读?
对于已经发现甲状腺结节或怀疑甲状腺结节的患者,超声检查是首选的检查方法。


正常甲状腺超声图像和甲状腺结节超图像
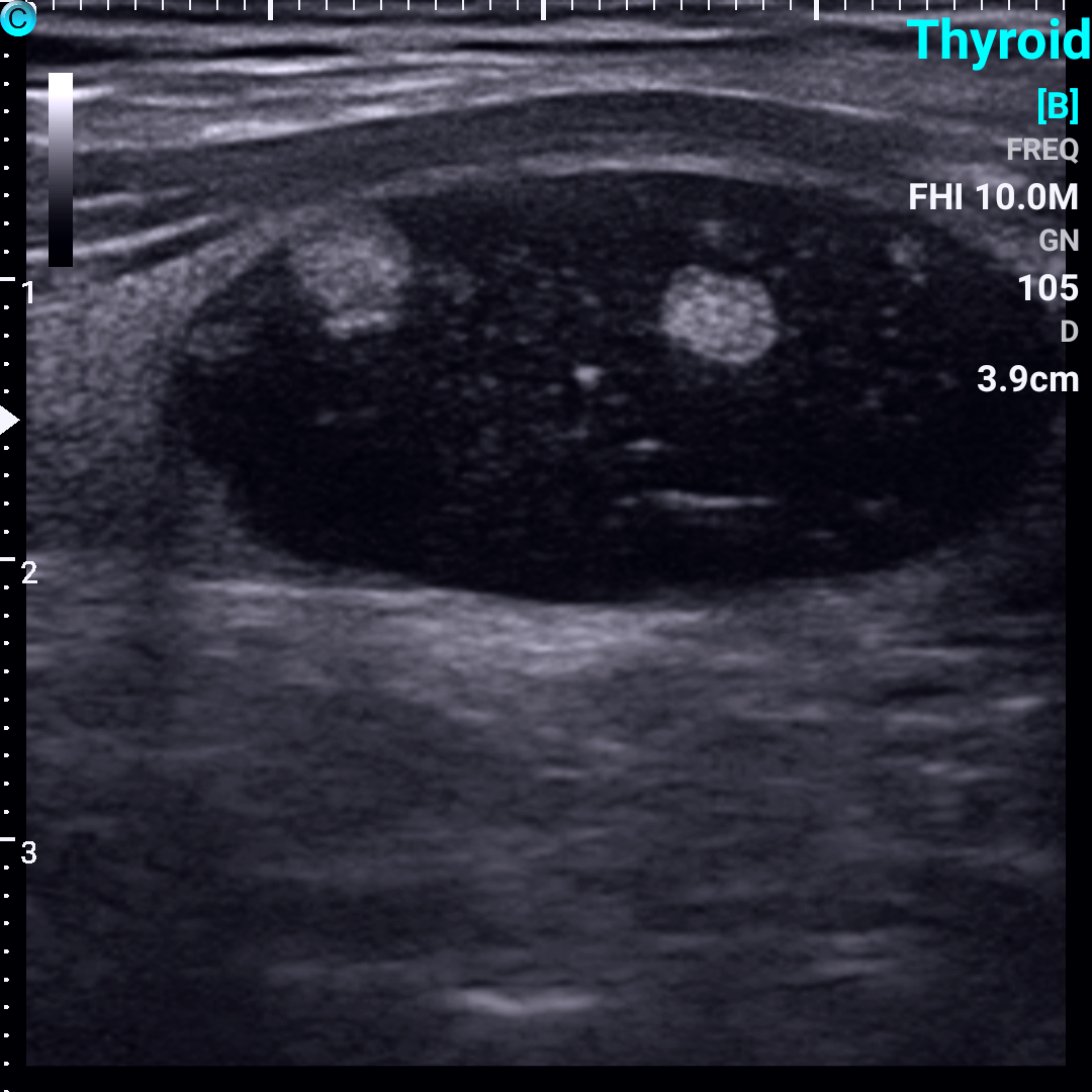
01、看数目
1. 单发结节:甲状腺内只有一个结节。
2. 多发结节:甲状腺内不只一个结节。


单发结节和多结节超声图像
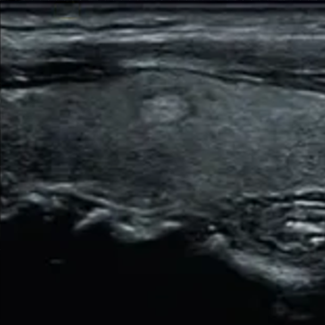
02、看边界
1. 清晰:结节与周围甲状腺组织界限清楚,提示趋向于良性结节可能性大。
2. 不清晰:结节与周围甲状腺组织界限不清,提示趋向于恶性肿瘤可能性大。


甲状腺结节超声图像
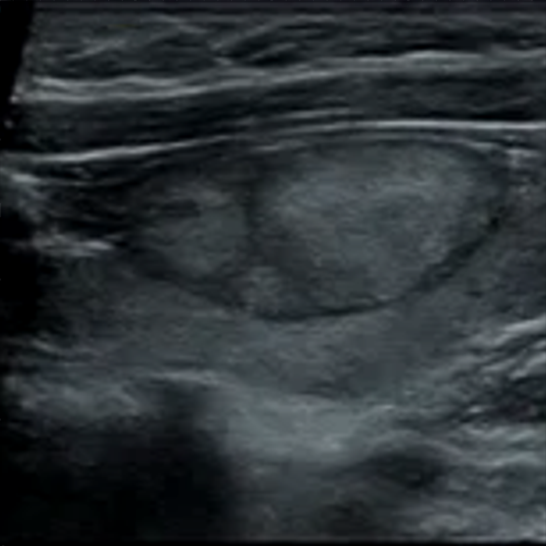
03、看形态
1. 形态规则:提示趋向于良性结节可能。
2. 形态不规则:提示趋向于恶性结节可能。甲状腺癌结节多具有“侵略性”的扩张性或侵润性生长,呈现为“张牙舞爪”的分叶状或成角畸形。


甲状腺结节测量
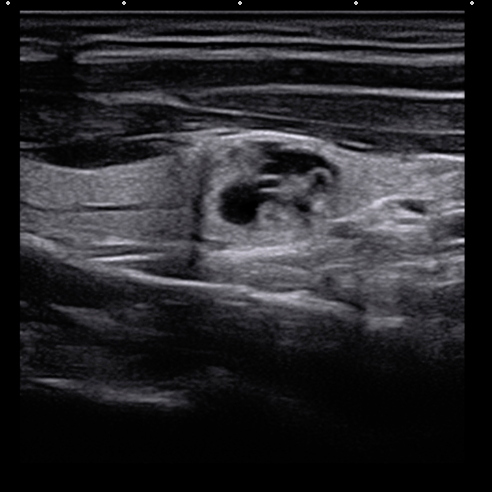
04、看囊实性
依据结节内部成分的不同可以将结节分为:
1. 囊性结节:内部成分为液体;
2. 实性结节:内部成分为固体;
3. 囊实性结节:内部成分既有液体,也有固体。
恶变的几率依次为:实性结节>囊实性结节>单个的囊性结节>多发的囊性结节。



甲状腺囊性,囊实性和实性结节超声图像
05、看血流
1. 结节内部无血供,结节周边为环状血流信号,提示结节为良性
2. 结节内部血流信号分布紊乱,多由结节周边向内部穿入,提示结节为恶性。


甲状腺结节中血流图像
除以上以外,医生还会看回声,钙化和被膜等情况综合评估。








